Aladinss

Drmonikas Dental Care In Chennai

Description

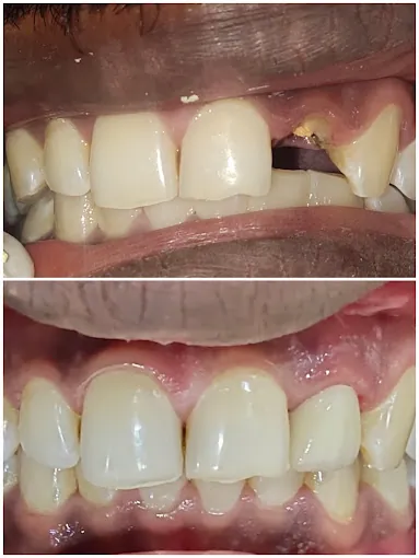
Drmonikas Dental Care in Chennai offers reliable general dentistry, from cleanings to fillings, with a focus on patient satisfaction. Our skilled team uses advanced tools for effective care. Call 9384840707 or email during Open daily from 10 am to 8:30 pm. Follow Connect on social media for dental care tips!

No google 360 Found!

NO PRODUCT FOUND!

Write a Review

NO JOBS FOUND!

Frequently Asked Questions

Our experienced team delivers consistent, high-quality care.

Yes, we use cutting-edge equipment for better results.

We focus on your comfort and satisfaction.

Contact 9384840707 or for easy booking.

Yes, follow Connect on social media for expert guidance!

No tags available

Click for a Quick Look on

0 Items
0